Case インプラント症例

インプラント症例

  • 審美歯科症例、補綴歯科症例にもインプラントによる補綴症例が提示してありますのでご覧になって下さい。
  • 治療中は暫間補綴物(仮歯)の処置を適切に行い、日常生活に支障がないように配慮いたします。
  • 当院では将来の口腔変化に対応できるようにブローネマルクシステムのコンセプトに従い、可能な限り上部構造に可撤機構をもたせた処置を行っております。これは今後考えられる全身を含めた口腔環境の変化に対応する為の配慮です。
  • インプラントは自由診療です。インプラントによる治療効果については患者様ごとに異なり、画一的な結果をもたらすとは限りません。症例に関しましては治療の進行を知るための一助としてください。インプラントの長期にわたる健康を維持するためには、的確な診断に基づく高度な手術手技 および補綴技術はもちろんですが術後の管理が特に重要です。定期検診は必須です。

単独歯欠損症例

Case.1

歯根破折による前歯1歯欠損症例です。(治療後の写真は治療終了16年経過後の状態です。)

*11年後のCT画像です。インプラントが切歯管(神経の管)を避けて適切な方向に埋入され、先端部が鼻腔底の硬い皮質骨に支えられているのが確認できます。インプラント頸部の骨吸収も認められません。

Case.2

先天性欠如歯列を小矯正とインプラント補綴により処置した症例です。狭いスペースに対して適正な位置にインプラントが埋入されています。

Case.3

Case.4

Case.5

Case.6

Case.7

Case.8

Case.9

少数歯欠損症例

Case.1

お口全体を治療した症例です。前歯に仮歯が入った状態で来院されました。多くの歯に根の病気があり左上の奥歯には歯肉に膿の出口が認められ、根の治療や歯周病治療の後に審美修復を行いました。前歯2本は骨増生後にインプラントによる修復を行いました。(治療後の写真は治療終了9年経過後の状態です。)

Case.2

歯根破折により失った下顎の臼歯をインプラントにより修復した症例です。顎の内側に骨の隆起が存在し、この様な場合では義歯による修復は非常に困難でインプラント補綴が有効です。(治療後の写真は治療終了2年経過後の状態です。)

Case.3

ブリッジを支えていた歯が縦に破折し抜歯となってしまった症例です。インプラントによる補綴処置を行う事で他の歯に負担を与える事なく歯が抜けたところの処置ができます。

Case.4

保存不可能な歯の抜歯処置を行い、インプラントおよびセラミッククラウンで審美的に修復しました。

Case.5

多数歯欠損症例

Case.1

重度歯周病に罹患した症例です。歯周病の治療の後に歯周補綴治療並びにインプラント補綴治療を行い咬合の安定を図りました。

Case.2

不適切な補綴処置が繰り返され歯列が変形してしまった症例です。上顎の奥歯が下顎の歯肉に咬み込んでいる状態でした。歯周処置を施した後にインプラントによりかみ合わせの再構成を行いました。(治療後の写真は治療終了8年経過後の状態です。)

無歯顎症例

Case.1

インプラントにより咬合再建を行った症例です。咀嚼能力や発音等の機能の著しい向上と審美性の獲得が行えました。(治療後の写真は治療終了5年経過後の状態です。)

*上部構造装着2年後のCT画像です。シミュレーションによるインプラントの適正な配置が再現されているのが確認できます。

Case.2

咬合崩壊状態の症例です。すべてインプラントによる再建を行いました。(治療後の写真は治療終了3年経過後の状態です。)

*上部構造装着3年経過後のCT画像です。シミュレーションによるインプラントの適正な配置が再現されているのが確認できます。

Case.3

下顎の骨の吸収が著しく通常の入れ歯では咬むことが困難な症例です。インプラントによる固定性の義歯により処置を行いました。86歳になられる現在も大変充実した食生活を送られ、高い満足感を得られております。(治療後の写真は治療終了16年経過後の状態です。)

*インプラント上部構造装着16年後のCT画像です。6本すべてのインプラントが頸部と先端部を硬い皮質骨に支えられている非常に安定した埋入状態のため、骨の吸収が全く認められず非常に良い状態です。

Case.4

重度の歯周病と虫歯により咬合が崩壊してしまった症例です。上下の顎の前後的な位置に著しい不調和が認められ下顎の前歯が上顎の歯肉に咬み込んでいらっしゃいました。上下全額にわたりインプラントによる咬合再建を行いました。治療後の写真は治療終了3年経過後の状態です。(ご本人の希望で歯にステインによる着色を施してあります。)

Case.5

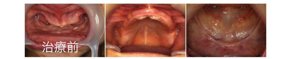
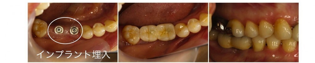
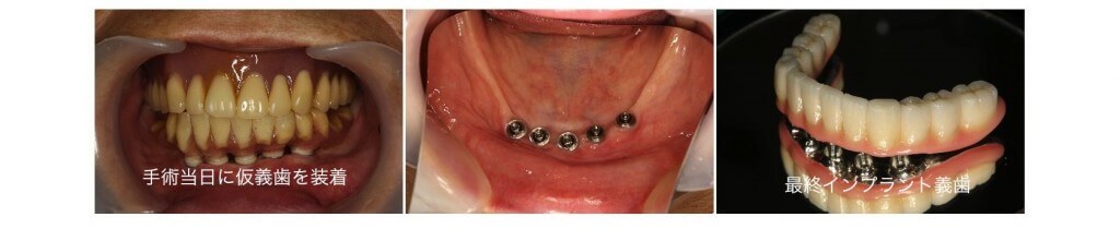
下顎の著しい骨吸収を伴う無歯顎症例です。下顎の顎堤は吸収し義歯の安定が望めない状態です。こうした場合には顎堤の前方部分に複数のインプラントを埋入し連結する事で大臼歯部までの歯列を完成させる事が可能となります。

手術当日に仮義歯を固定する事でその日から安定した咬み合わせを手に入れる事ができました。

Case.6

上顎をインプラントブリッジで処置した症例です。最小限のインプラントで大臼歯部までの補綴を行う、いわゆる“All-on-4”症例です。

*CT画像でインプラントが上顎洞を避けて適正な位置に埋入されているのが確認できます。先端部を皮質骨に接触させる事で安定した支持を得ています。

お問い合わせ