Case 口腔外科症例

口腔外科症例

  • 当院では外科処置専用の手術室を完備し、清潔な環境で処置を行う事が可能です。
  • 処置に際しては必要に応じてCT検査を行い、適切な診断の元に施術いたします。
  • 必要に応じてピエゾトームを用い、安全に配慮した処置を行います。
  • 高次医療機関との連携により、当院で対応ができない様なリスクの高い処置に関しましては適切な対応先をご紹介いたします。

埋伏歯抜歯

Case.1

CT検査にて左右に下顎水平埋伏智歯が認められます。下歯槽管との関係を確認した上で歯牙を分割抜歯いたしました。 最小限の侵襲で処置を行う事により腫脹、疼痛も最小限で抑えられます。

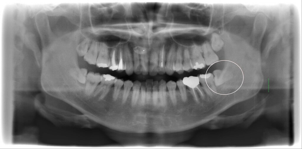
Case.2

下顎右側に水平埋伏智歯が認められます。歯根が2つに分かれ骨を抱き込む様に埋伏していたため、歯冠を切断した後に歯根を分割し抜歯を行いました。 骨を落とす事なく抜歯を行う事で腫れや痛みが少なくて済みます。

Case.3

CT像で下顎に水平埋伏智歯が認められます。歯冠分割、歯根分割を行い抜歯処置を行いました。

Case.4

Case.5

上顎の埋伏智歯を抜歯した症例です。前方歯に引っかかった状態のため歯冠の分割後に抜歯を行いました。

歯根端切除手術

Case.1

CT像で下顎の前歯の根の先に嚢胞の陰が認められます。嚢胞と共に、感染した歯根の先端部を切断し摘出する事で歯を抜歯する事なく処置する事ができます。

Case.2

不適合なブリッジが装着され、CT画像で根端部の嚢胞が認められます。歯内療法後に歯根端切除及び嚢胞摘出処置を行い、セラミックブリッジによる補綴処置をいたしました。

Case.3

Case.4

処置された前歯の根の先に大きな嚢胞の陰が認められます。根の再処置を施した後に感染した部分の切断を行い嚢胞と共に摘出した症例です。 歯肉の安定した後にセラミッククラウンによる補綴処置を行いました。

Case.5

Case.6

不適合な補綴処置がなされ、根の部分には器具の破折による病変が認められます。根の再処置を行った後に根先端部の削除を行い病変を除去した症例です。 再補綴処置を施し審美的に処置いたしました。

骨隆起除去手術

Case.1

下顎の舌側に骨の隆起があり義歯の装着に障害となる症例です。骨隆起を除去する事で顎堤がスムーズな形態となり適合の良い義歯が装着可能となります。

嚢胞摘出手術

Case.1

頬部が著しく腫脹し、レントゲン像で下顎の大臼歯と上顎前歯部根尖部に骨内に逸出した人工物が認められます。 嚢胞を一塊として摘出しました。

Case.2

上顎洞に交通する大きな歯根嚢胞を摘出した症例です。併せて上顎洞閉鎖術も行いました。

Case.3

上顎第2大臼歯歯肉部に著しい腫脹が認められます。消炎処置後に抜歯処置と共に歯根嚢胞摘出手術を行いました。

Case.4

口唇にできた貯留嚢胞をレーザーにより除去した症例です。術後1週間程度で治療痕は消失いたします。

お問い合わせ