Case 審美歯科症例

審美歯科症例

  • 治療中は暫間補綴物(仮歯)の施術を適切に行いますので日常生活に支障をきたすことはありません。
  • セラミック治療やホワイトニング、矯正治療は自由診療です。治療効果については患者様ごとに異なり、画一的な結果をもたらすとは限りません。症例に関しましては治療の進行を知るための一助としてください。 審美処置の長期にわたる健康を維持するためには、的確な診断に基づく高度な手技 および補綴技術はもちろんですが術後の管理が特に重要です。定期検診は必須です。

セラミック修復症例

Case.1

歯周病で歯肉が下がってしまった上顎の前歯部の隙間をセラミッククラウンにて修正した症例です。

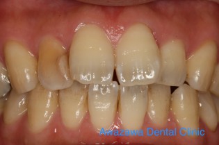
Case.2

前歯の歯並びをセラミッククラウンとダイレクトボンディングで治療した症例です。

Case.3

歯列をセラミッククラウンで修正した処置した症例です。歯の形態や方向を修正する事できれいな歯並びを得る事が出来ます。

Case.4

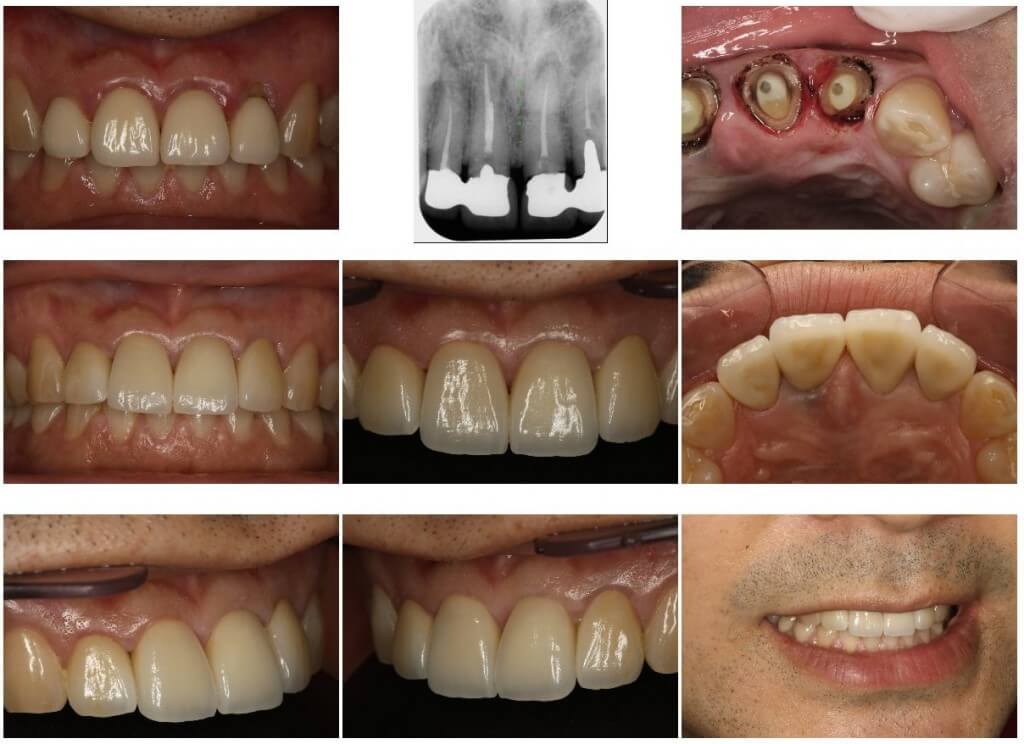
歯根破折により保存不可能な中切歯を抜歯後、セラミックブリッジにより補綴した症例です。ジルコニアフレームにより高い強度を備えた審美補綴が可能となります。

Case.5

上顎左側側切歯の先天性欠如歯列をセラミッククラウンにて審美的に処置した症例です。

Case.6

事故で歯を折ってしまいセラミッククラウンで処置をされていますが、不適合な補綴物により歯肉が炎症を起こしている状態です。根の先に膿の袋も認められます。冠および土台を除去し根の処置を行なった後に歯肉の整形を行い、深い位置にあった破折したラインに合わせて精密に型取りを行う事で適合の良いセラミッククラウンが完成します。

Case.7

破折により歯髄炎を起こした歯をセラミッククラウンにて補綴した症例です。

Case.8

むし歯をセラミッククラウンにて処置した症例です。併せて歯列の修正も行えます。

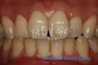
Case.9

不適合な修復物をセラミッククラウンおよびブリッジで審美的に再処置を行った症例です。

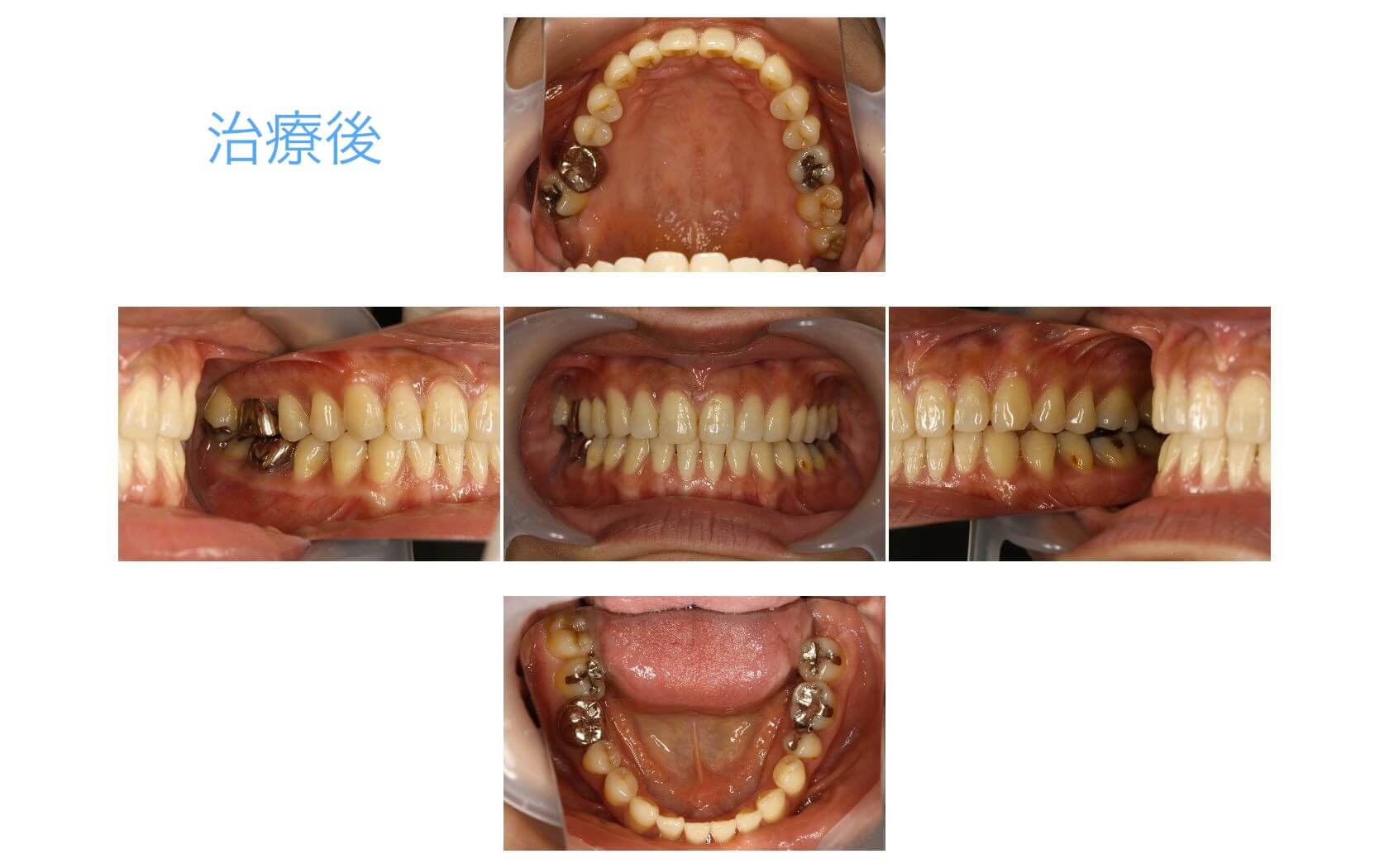
Case.10

歯周病と虫歯で崩壊してしまった歯列をインプラントおよびセラミッククラウンで再建した症例です。

Case.11

前突した前歯をセラミッククラウンで処置した症例です。保存不可能な歯の抜歯の後ブリッジによる処置を行い、歯並びを修正しました。

Case.12

前歯部の歯並びをセラミッククラウンで処置した症例です。歯の形だけでなく歯の方向も変える事が出来ます。

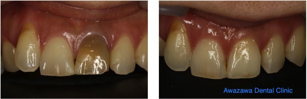
Case.13

虫歯で変色してしまった前歯をオールセラミッククラウンで処置した症例です。

Case.14

前突した前歯をセラミッククラウンで処置した症例です。自然な形に仕上げる事が出来ます。

Case.15

不適合な修復物をセラミッククラウンで再処置した症例です。歯肉との境目が自然な感じに仕上げる事が可能です。

Case.16

根の病気の治療のため被せ物の再治療をした症例です。「周囲の歯の色に合わせてほしい」との 患者様のご希望により着色歯の色調を再現してあります。
併せてかみ合わせの修正も行いました。

Case.17

歯の隙間をラミネートベニア修復とインプラントで治療した症例です。歯並びのバランスをとるために小矯正処置を施した後に修復処置を行いました。(治療後の写真は治療終了6年後の状態です)

Case.18

変色した前歯をセラミッククラウンで処置した症例です。併せて歯並びの修正も行いました。

Case.19

交通事故による前歯4本の破折と歯肉の裂傷を治療した症例です。不正な形態となってしまった歯肉の形態を修正しセラミッククラウンで処置を行いました。

Case.20

前歯部の不適合な補綴物をセラミックで処置した症例です。保存不可能な歯を抜歯し、保存可能な歯は根の病気を治療した後に黒く変色してしまった根の部分の漂白処置を行い、審美的な処置をいたしました。

Case.21

不適合な修復物をセラミッククラウンで治療した症例です。

Case.22

前歯部の隙間をオールセラミッククラウンで治療した症例です。(治療後の写真は治療終了5年後の状態です)

Case.23

不適合な修復物をセラミッククラウンで処置した症例です。

Case.24

虫歯をセラミッククラウンで処置した症例です。

Case.25

スペースが足らないために片側の中切歯が歯列の外に飛び出してしまっている症例です。矯正処置は行わずに中切歯2本のセラミッククラウンの形態を工夫する事で審美性を改善いたしました。歯周外科処置を行い歯頸部の高さを揃えてあります。

Case.26

前歯の被せ物をセラミッククラウンで治した症例です。歯肉の形態の修正も行いました。

Case.27

前歯をメタルボンドクラウンで処置した症例です。本人の希望により反対側の歯は処置せずにこれに色調を合わせて自然感のある処置を行いました。(治療後の写真は治療終了6年後の状態です)

Case.28

前歯の隙間をラミネートベニアで処置した症例です。

Case.29

変色した前歯をメタルボンドクラウンで処置した症例です。

Case.30

臼歯部の欠損をセラミックブリッジで処置した症例です。十分な強度を持ち審美修復が行えます。

Case.31

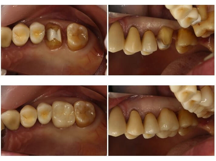
臼歯のセラミッククラウン修復症例です。

Case.32

セラミックインレーで処置した症例です。

Case.33

セラミックインレーで処置した症例です。

Case.34

セラミックインレーで処置した症例です。

Case.35

セラミックインレーで処置した症例です。

Case.36

セラミックインレーで処置した症例です。

ダイレクトボンディング

Case.1

破折した前歯を修復した症例です。

ホワイトニング症例

Case.1

全額ホワイトニングを行った症例です。

Case.2

変色した前歯をホワイトニングにより処置した症例です。

矯正症例

Case.1 小児矯正

歯列矯正により歯並びを改善した症例です。顎が小さくて前歯が並びきらず重なって生えてきています。顎の成長を促す事により歯の並ぶスペースを作り矯正治療を行っていきます。このような症例では幼少期から処置を開始する事により歯を抜かないで処置を行う事ができる可能性が高まります。

Case.2 小児矯正

Case.3 小児矯正

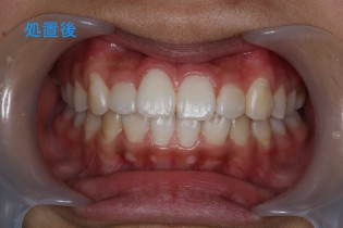
Case.4 成人矯正

歯並びを修正する事によりブラッシングによるプラークコントロールが容易となり、虫歯や歯周病に罹患するリスクが少なくなります。また咬み合わせも修正する事ができますので顎関節症等のトラブルも少なくなります。

Case.5 成人矯正

お問い合わせ